Ранняя диагностика глиобластомы
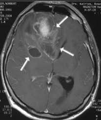
Ранняя диагностика глиобластомы: ключ к спасению Глиобластома – это одна из самых агрессивных и распространенных форм первичных опухолей мозга.
Ранняя диагностика глиобластомы: как распознать опасный диагноз на ранних стадиях В нашей практике часто сталкиваемся с тем, что ранняя диагностика неврологических
Ранняя диагностика глиобластомы: как распознать и победить Глиобластома — одно из самых агрессивных и сложных для лечения онкологических заболеваний мозга․



