- Методы раннего выявления заболеваний поджелудочной железы: что нужно знать каждому
- Что представляет собой поджелудочная железа и почему она так важна для нашего организма?
- Основные причины заболеваний поджелудочной железы
- Клинические признаки, на которые стоит обращать внимание
- Методы диагностики заболеваний поджелудочной железы
- Лабораторные методы
- Инструментальные методы
- Современные технологии и новые методы раннего обнаружения
- Что важно знать при прохождении диагностики?
- Профилактика и своевременное обращение к специалисту
Методы раннего выявления заболеваний поджелудочной железы: что нужно знать каждому
В чем заключается важность ранней диагностики заболеваний поджелудочной железы?
Ранняя диагностика заболеваний поджелудочной железы позволяет своевременно начать лечение, избежать осложнений и значительно повысить шансы на полное выздоровление. Эти болезни часто протекают без ярко выраженных симптомов на начальных этапах, что делает важным знание методов их выявления еще до появления сильных признаков. Мы расскажем, как определить проблему вовремя и какие исследования требуют внимания;
Что представляет собой поджелудочная железа и почему она так важна для нашего организма?
Поджелудочная железа — это важнейший орган, расположенный в брюшной полости, около желудка и кишечника. Он выполняет две ключевые функции: внешний секреторный продукт (выделение пищеварительных ферментов) и эндокринную функцию (выработка инсулина и глюкагонов, регулирующих уровень сахара в крови). Здоровье этого органа напрямую влияет на обмен веществ, работу кишечника и состояние всей эндокринной системы.
К сожалению, заболевания поджелудочной железы протекают зачастую скрыто или сопровождаются неясными симптомами, что усложняет их своевременное выявление. Поэтому важно знать, какие методы диагностики доступны и как их правильно применяют для раннего обнаружения проблем.
Основные причины заболеваний поджелудочной железы
- Тяжелое питание, богатое жирами и быстрыми углеводами.
- Алкогольная зависимость.
- Инфекционные заболевания, такие как гепатит, коронавирусные инфекции.
- Генетическая предрасположенность.
- Стрессы и переутомление.
- Хронические заболевания желудочно-кишечного тракта.
- Травмы живота.
- Некорректное лечение или нежелательное воздействие лекарств.
Клинические признаки, на которые стоит обращать внимание
Первые признаки заболеваний поджелудочной железы могут быть очень расплывчаты и легко спутать с симптомами других патологий. Чтобы не упустить момент, необходимо знать, на что обращать особое внимание:
- Боль в эпигастральной области. Может быть стойкой или приступообразной, отдавать в спину.
- Тошнота, рвота и нарушение пищеварения.
- Потеря аппетита и снижение веса.
- Заметное увеличение или уменьшение уровня сахара в крови.
- Желтушность кожи и глаз.
Методы диагностики заболеваний поджелудочной железы
Современная медицина предлагает широкий арсенал методов, позволяющих выявить заболевания даже на самых ранних стадиях. Ниже подробно рассмотрим самые эффективные из них.
Лабораторные методы
| Метод | Описание | Что выявляет |
|---|---|---|
| Анализ крови на ферменты | Определение уровней амилазы и липазы | Воспаление и повреждение поджелудочной железы |
| Общий и биохимический анализ крови | Общий анализ и показатели функции печени и поджелудочной | Обнаружение воспаления, дисбактериоза, нарушения обмена веществ |
| Анализ мочи и кала | Определение ферментов и брожения | Косвенные признаки нарушения пищеварения |
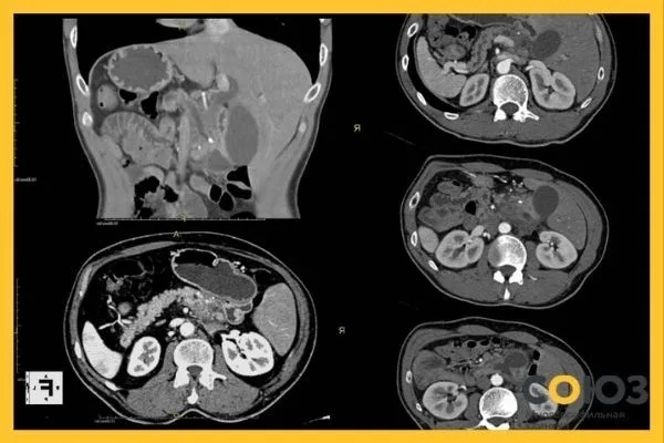
Инструментальные методы
| Метод | Описание | Что показывает |
|---|---|---|
| Ультразвуковое исследование (УЗИ) | Самое доступное и безопасное исследование | Размер, структура, наличие камней, опухолей |
| Компьютерная томография (КТ) | Более точное объемное изображение органов | Оценка структуры и степени воспаления |
| Магнитно-резонансная томография (МРТ) | Высокоточная визуализация без облучения | Диагностика опухолей, кист, воспалений |
| Эндоскопическая ультрасонография (ЭУЗИ) | Производится через пищевод | Детальное исследование тканей и состояния желчных протоков |
| Рентгенография с контрастом | Использование контрастных веществ для оценки канальцев | Стенозы, камни, кистозные образования |
Современные технологии и новые методы раннего обнаружения
В последние годы медицина активно внедряет инновационные подходы, позволяющие выявлять заболевания поджелудочной железы на стадиях, когда симптомы еще отсутствуют или минимальны. Среди них особое место занимают:
- Молекулярная диагностика и генетические тесты — позволяют определить предрасположенность и наличие мутаций, связанных с развитием заболеваний.
- Масс-спектрометрия — используется для поиска биомаркеров заболевания в крови и других жидкостях организма.
- Иммунологические тесты — выявляют специфические сигналы воспаления или повреждения тканей.
- Искусственный интеллект и анализ данных — анализируют большие объемы информации для выявления паттернов и ранней диагностики.
Что важно знать при прохождении диагностики?
Перед проведением исследований важно соблюдать рекомендации врача, правильно подготовиться и учитывать возможные противопоказания. Например, подготовка к УЗИ — это голодание в течение нескольких часов, а для эндоскопических методов, обследование кишечника и специалист по наблюдению за состоянием пациента.
Профилактика и своевременное обращение к специалисту
Чтобы минимизировать риск развития заболеваний поджелудочной железы, важно соблюдать принципы правильного питания, избегать вредных привычек, контролировать уровень сахара в крови и регулярно проходить профилактические обследования. Чем раньше выявлены отклонения, тем эффективнее профилактическое и лечебное вмешательство.
Вопрос к статье:
Наиболее эффективными методами для раннего выявления заболеваний поджелудочной железы считаются ультразвуковое исследование (УЗИ) и лабораторные анализы, в частности, определение уровня ферментов, таких как амилаза и липаза. В случае подозрения на осложнения или структурные изменения используют более информативные инструментальные методы, такие как компьютерная томография (КТ) или эндоскопическая ультрасонография (ЭУЗИ). Инновационные технологии, такие как молекулярная диагностика и ИИ-анализ, открывают новые горизонты для выявления патологии еще до появления симптомов.
Подробнее
| № | Запрос | Комментарий | Пример использования | Дополнительная информация |
|---|---|---|---|---|
| 1 | методы диагностики поджелудочной железы | Обзор современных и традиционных методов | Статья, радио-, телеварианты | Советы от специалистов |
| 2 | ранняя диагностика панкреатита | Как обнаружить воспаление на ранних стадиях | Медицинские исследования | Диагностические рекомендации |
| 3 | биомаркеры заболеваний поджелудочной | Что показывают анализы крови | Лабораторные тесты | Обновленные исследования |
| 4 | современные методы диагностики поджелудочной | Технологии, которые меняют подход к обследованию | Инновационные исследования | Перспективы и новые открытия |
| 5 | как распознать симптомы заболеваний поджелудочной | Коллективный анализ признаков | Советы врачей | Профилактические меры |








