Методы раннего выявления легких заболеваний
Заболевания легких представляют собой одну из самых серьезных угроз для здоровья человека. В связи с увеличением загрязнения атмосферы‚ а также распространением вредных привычек‚ таких как курение‚ вопрос ранней диагностики становится крайне актуальным. Мы исследуем методы‚ которые могут помочь выявить легочные заболевания на ранних стадиях‚ когда лечение еще может быть эффективным.
Наша цель – осветить современные подходы к диагностике‚ подчеркнуть важность профилактических мероприятий и поделиться личным опытом как мы справляемся с этими вызовами.
Значение ранней диагностики
Ранняя диагностика заболеваний легких позволяет предотвратить развитие серьезных осложнений и повысить шансы на успешное лечение. Мы понимаем‚ что чем раньше обнаружено заболевание‚ тем проще и эффективнее будет терапия. На практике это означает‚ что регулярные обследования становятся неотъемлемой частью заботы о своем здоровье.
Многие люди пренебрегают визитами к врачу‚ полагая‚ что все обойдется. Однако‚ как показывает практика‚ легочные заболевания‚ такие как хроническая обструктивная болезнь легких (ХОБЛ) и рак‚ могут развиваться скрытно. Вот почему важно знать основные методы‚ которые помогают выявить эти заболевания на ранней стадии.
Методы ранней диагностики
Существует несколько методов‚ которые помогают обнаружить легочные заболевания еще до появления явных симптомов. Рассмотрим их подробно:
- Метод рентгенографии органов грудной клетки
- Спирометрия
- Компьютерная томография
- Анализы крови
- Бронхоскопия
Рентгенография органов грудной клетки
Рентгенография является одним из самых распространённых методов диагностики. С её помощью можно оценить состояние легких и выявить наличие аномалий‚ таких как опухоли или воспалительные процессы. Мы рекомендуем делать рентгенографию не реже одного раза в два года‚ особенно если есть предрасположенность к заболеваниям легких.
Спирометрия
Спирометрия позволяет измерить объем и скорость выдоха воздуха‚ что помогает определить наличие обструкции дыхательных путей. Этот тест особенно полезен для людей‚ которые курят или имеют симптомы заболеваний легких‚ такие как одышка или хронический кашель.
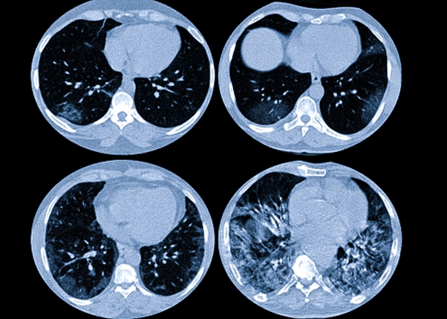
Компьютерная томография
Компьютерная томография (КТ) даёт более детальное изображение легких и может выявить заболевания‚ которые не были обнаружены на рентгенограмме. Это обследование особенно важно для людей с высоким риском рака легких.
Анализы крови
Анализы крови могут помочь в оценке общего состояния здоровья и выявлении воспалительных процессов. Они являются важным дополнением к другим методам диагностики‚ поскольку способны обнаружить нарушения‚ которые могут сопровождать заболевания легких.
Бронхоскопия
Бронхоскопия позволяет врачу осмотреть дыхательные пути изнутри. Этот метод может быть необходим для диагностики удачного расположения опухоли или другого патологии‚ что особенно актуально при подозрении на рак.
Роль профилактики в здоровье легких
Мы не можем недооценивать важность профилактики заболеваний легких. Помните‚ что основные факторы риска‚ такие как курение‚ загрязнение окружающей среды и плохая экология‚ могут значительно увеличить вероятность развития заболеваний. Важно понимать‚ что лучше предотвратить болезнь‚ чем потом ее лечить.
Вот несколько рекомендаций‚ которые мы можем применить в нашей жизни для укрепления здоровья легких:
- Отказ от курения и избегание пассивного курения.
- Регулярные физические нагрузки.
- Проведение выходных на свежем воздухе в экologically clean zones.
- Правильное питание‚ включающее антиоксиданты.
- Регулярные медицинские обследования.
Легкие – это жизненно важный орган‚ и забота о здоровье легких должна быть в приоритете каждого. Мы рассказали о различных методах раннего выявления заболеваний‚ подчеркнули значение профилактики и надеемся‚ что эта информация окажется полезной. Не забывайте о своем здоровье и обязательно проходите плановые обследования!
Как часто нужно проходить обследование для раннего выявления легочных заболеваний?
Рекомендуется проходить обследование не реже одного раза в два года‚ а в случае наличия предрасположенности или симптомов ⎻ чаще‚ по рекомендации врача.
Подробнее
| Раннее выявление заболеваний легких | Методы диагностики легочных болезней | Профилактика заболеваний легких | Спирометрия и ее значение | Значение рентгенографии |
| КТ легких как метод диагностики | Рекомендации по здоровью легких | Роль дыхательной гимнастики | Рак легких и его симптомы | Обследование легких для курильщиков |








