- Эффективность маммографии в снижении смертности от рака молочной железы: правда или миф?
- Что такое маммография и как она проводится?
- Преимущества и недостатки маммографии
- Научные исследования и статистика: насколько маммография снижает смертность?
- Обзор крупнейших исследований
- Таблица сравнения показателей с и без использования маммографии
- Как часто нужно проходить маммографию?
- Проявление современных технологий и будущие направления
- Практические советы: как подготовиться к маммографии и что делать после обследования
Эффективность маммографии в снижении смертности от рака молочной железы: правда или миф?
В современном мире здравоохранения диагностика рака молочной железы играет ключевую роль в спасении жизней. Одним из самых популярных и широко используемых методов скрининга является маммография. Но насколько она действительно эффективна в снижении смертности, и что говорят научные исследования по этому поводу? В этой статье мы постараемся разобраться в тонкостях и расширить понимание важности и возможностей маммографии, основываясь на данных мировых исследований и практическом опыте.
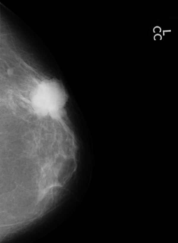
Что такое маммография и как она проводится?
Маммография, это специализированное рентгенологическое исследование молочных желез, которое используется для раннего обнаружения опухолей, еще до появления внешних симптомов. Процедура выполняется с помощью специального аппарата — маммографа, который сжимает грудь, чтобы получить четкие изображения.
Основные этапы процедуры:
- Подготовка: рекомендуется избегать использования одеколонов или лосьонов на коже рядом с грудью, а также не применять дезодоранты, которые могут оставить белые следы на изображениях.
- Проведение исследования: каждая грудь помещается между пластинами аппарата и сжимается для получения качественных снимков.
- Анализ: изображения передаются радиологам для оценки наличия аномалий.
Это безопасная процедура с минимальной лучевой нагрузкой, в большинстве случаев — безболезненная, хотя некоторый дискомфорт возможен из-за сжатия груди.
Преимущества и недостатки маммографии
| Преимущества | Недостатки |
|---|---|
|
|
Научные исследования и статистика: насколько маммография снижает смертность?
Самый важный вопрос, который волнует медицинское сообщество и женщин — действительно ли маммография дает значительный эффект в снижении смертности от рака молочной железы? Чтобы разобраться в этом, необходимо обратиться к множеству исследований, проведенных по всему миру за последние десятилетия.
Обзор крупнейших исследований
Наиболее значительным является крупномасштабное рандомизированное исследование, проведенное в рамках проекта Women’s Health Initiative, и несколько метаанализов, объединяющих результаты множества исследований. Вот основные выводы, которые можно получить из этих данных:
- Маммография способствует снижению смертности от рака молочной железы в диапазоне от 20% до 40% при регулярном проведении у женщин старше 50 лет.
- Эффективность ниже у женщин моложе 50 лет, что связано с особенностями анатомии и более высокой плотностью тканей молочной железы.
- Результаты зависят от возраста женщине, частоты обследований и наличия факторов риска.
Таблица сравнения показателей с и без использования маммографии
| Показатель | С маммографией | Без маммографии |
|---|---|---|
| Потенциальное снижение смертности | от 20% до 40% | без четкой статистики |
| Обнаружение опухолей на ранней стадии | да | минимально |
| Инвазивные вмешательства из-за ложноположительных результатов | возможны | неактуально |
Как часто нужно проходить маммографию?
Рекомендации по частоте проведения маммографии меняются в зависимости от возраста и индивидуальных факторов риска. В большинстве случаев для женщин в возрасте старше 50 лет рекомендуется делать скрининговую маммограмму раз в два года. Для женщин 40-50 лет — раз в год или раз в два года, в зависимости от рекомендаций врача и состояния здоровья.
Что важно помнить:
- Регулярность — ключ к успеху в раннем обнаружении заболеваний.
- Обсуждение индивидуальных особенностей с врачом помогает определить оптимальный график обследований.
Проявление современных технологий и будущие направления
Современные инновации в области маммографии позволяют повышать точность и комфорт прохождения процедуры. Среди них:
- Дигитальная маммография: обеспечивает более четкие изображения и возможность их цифровой обработки.
- Маммография с 3D-сканированием (томосинтез): позволяет получить объемное изображение молочной железы и заметно снижает число ложноположительных результатов.
- Искусственный интеллект: помогает автоматизировать диагностику и повысить точность интерпретации снимков.
В будущем ожидается расширение возможностей комплексных методов раннего обнаружения и комбинирование маммографии с другими технологиями — например, ультразвуковыми обследованиями и МРТ — для более точного определения состояния молочных желез.
Практические советы: как подготовиться к маммографии и что делать после обследования
Чтобы процедура прошла максимально комфортно и результат был достоверным, важно соблюдать некоторые рекомендации:
- Перед визитом исключите использование дезодорантов, лосьонов, кремов и парфюмерии на области груди и подмышек.
- Запишитесь на обследование в удобное для вас время, рекомендуется избегать проведения процедуры во время менструации, когда груди чувствительны.
- Сообщите врачу о наличии имплантатов или других особенностях.
После процедуры рекомендуется:
- Обратиться к врачу при обнаружении любых новых ощущений или изменений в состоянии груди.
- Следовать рекомендациям врача, если требуется дополнительное обследование или лечение.
Маммография — это мощное средство в арсенале борьбы с раком молочной железы. Несмотря на некоторые ограничения, она доказала свою эффективность в снижении смертности, особенно среди женщин старше 50 лет. Регулярные обследования, современные технологии и своевременное вмешательство позволяют значительно повысить шансы на успешное лечение и зафиксировать болезнь на ранних стадиях, когда лечение наиболее эффективно.
Обращая внимание на важность профилактики и диагностики, мы не только заботимся о своем здоровье, но и бережем самое ценное — свою жизнь.
Вопрос: Почему именно маммография считается основным методом скрининга рака молочной железы?
Маммография считается основным методом скрининга потому, что она позволяет выявлять опухоли на очень ранних стадиях, еще до появления признаков или симптомов. Благодаря высокой чувствительности и доступности, она помогает повысить выживаемость женщин и снизить смертность от рака молочной железы. Современные технологии позволяют делать процедуры менее дискомфортными и более точными, что способствует увеличению количества женщин, проходящих регулярное обследование.
Подробнее
| польза маммографии | скрининг рака молочной железы | эффективность раннего выявления опухолей | современные технологии в маммографии | частота проведения маммографии |
| маммография при имплантатах | ложноположительные результаты | может ли маммография заменить МРТ | психологические аспекты маммографии | лучшие практики подготовки к маммографии |








