Профилактика и Здоровый Образ Жизни
Полное руководство по скринингу рака желудка: что нужно знать каждому Рак желудка — одна из наиболее распространенных и опасных онкологических патологий‚
Почему Термография — Новый Взгляд на Скрининг Рака Молочной Железы Рак молочной железы остается одной из наиболее распространенных причин смертности среди
Почему скрининг толстой кишки (FIT) важен для вашего здоровья? Скрининг толстой кишки (FIT) – это один из самых значимых методов раннего выявления опасных
Почему Ожирение, Не Только Внешняя Проблема: Влияет ли оно на Всё наше здоровье Когда мы слышим слово «ожирение»‚ у большинства возникает
Почему малоактивный образ жизни опасен для нашего здоровья: разбор влияния низкого уровня физической активности В современном мире люди все чаще сталкиваются
Полное руководство по скринингу рака желудка: что нужно знать каждому Рак желудка — одна из самых серьезных and вызывающих тревогу онкологических проблем современности.
Понимание влияния ожирения: как оно меняет нашу жизнь В современном мире проблемы здоровья стали одними из главных тем для обсуждения. Ожирение — это не
Полный гид по скринингу шейки матки (ко-тестированию): что нужно знать для здоровья и спокойствия Когда речь заходит о здоровье женщин, особенно о профилактике
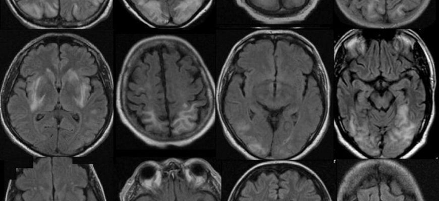
Полный гид по использованию WB-MRI: как современная диагностика меняет наше здоровье В современном мире прогресс технологий в области медицины непрерывно
Полное руководство по скринингу рака почек и мочевыводящих путей: что необходимо знать каждому В современном мире здоровье становится все более ценным










